Implantología oral y reconstructiva de alto nivel en Montería, para quienes entienden que la salud y la estética comienzan desde la estructura.
Transformando sonrisas
Nosotros
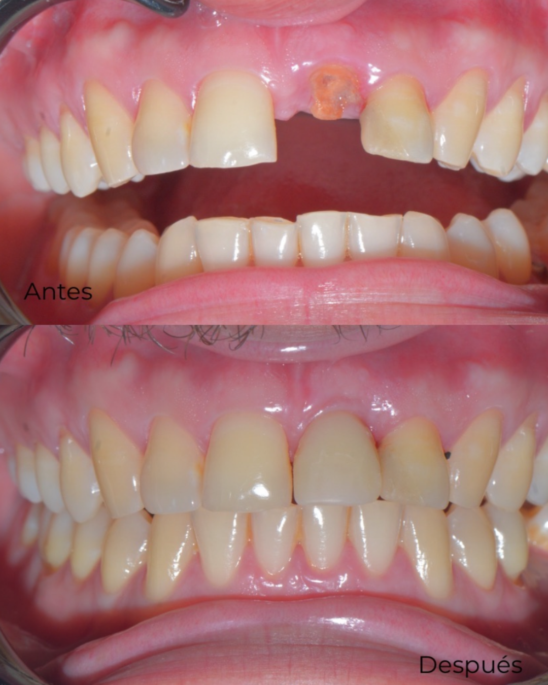
Somos una clínica odontológica de alta estética, enfocada en Implantologia, oral y rehabilitación. Buscamos brindar los resultados que no son lo mejor en la apariencia, sino que fortalezca en la confianza y el bienestar de quienes no eligen, porque creemos que una sonrisa segura puede transformar la vida de una persona. Nuestro enfoque clínico está liderado por el doctor que Nieto Od Odontologo especialista Implantologia, Orly, reconstructiva con más de 10 años de experiencia asegurando, excelencia y atención al detalle en cada procedimiento.
Reconocemos la importancia de una atención integral y humana. Por eso cada tratamiento es diseñado de manera personalizada y con especial cuidado, entiendo que cada sonrisa es única y merece un plan adecuado en sus a sus necesidades. Nuestra prioridad es tu comunidad tranquilidad en cada etapa del proceso, por ende, no se esforzamos por ofrecer un servicio de calidad, transparente y Seguro apoyado de tecnología de última generación, garantizando resultados, seguros, longevos y satisfactorios.
Testimonios
Servicios
Preguntas frecuentes
How does a virtual dental checkup work?
After you schedule online, you’ll receive a secure video link. During the session, our dentist reviews any uploaded photos or digital X-rays, assesses your oral health in real time, and provides a customized treatment plan. If in-office care is needed, we’ll refer you to a trusted local partner.
Are your whitening products safe for sensitive teeth?
Yes. Our dentist-formulated gels are peroxide-based yet balanced with soothing ingredients to minimize sensitivity. We also include desensitizing serum and detailed usage instructions to ensure optimal comfort and results.
What if I need assistance during my aligner treatment?
You’ll have 24/7 access to our patient portal, where you can upload photos and message our clinical team. We monitor your progress every two weeks and can adjust your plan or ship new aligners if needed—no extra visit required.
¿Quieres un cambio, pero no sabes por dónde empezar?
Si estás pensando en un cambio, estaremos encantados de acompañarte en el proceso. Agenda tu cita y conversemos.
